매교역치과, 앞니임플란트 뼈이식 안해도 괜찮아요

23.09.12(발치+임플란트식립) – 57y 김OO님
안녕하세요! 매교역치과 바른본치과의원
대표원장 백승우입니다.
환자분들이 임플란트 상담으로 내원하실때
뼈이식 여부도 중요합니다.
비용도 비용이지만,
위턱뼈 앞니
상악동 거상술 등
뼈이식이 꼭 필요한 경우가 있습니다.
하지만
사람 뼈의 특성, 그리고 심미성보다는
기능성이 더 강조되는 부위인 경우에는
수술방법을 바꾸고, 임플란트의 종류만 바꾸면
뼈이식 없이 정말 간단하게
앞니임플란트 수술을 할 수 있는데
그 부위가 바로
아래턱 앞니 입니다.
서로 다른 이유로 매교역치과에서 아래 앞니임플란트를
한 케이스를 보면서 설명드리도록 하겠습니다.

23.08.18(초진) – 57y 김OO님
매교역치과로 내원하셨던 환자분입니다.
처음 내원시 불편한 부분은 없으셨습니다 .
빨강색동그라미 치아가 추후
아래 앞니임플란트를 하게 된 치아 입니다.


23.08.18(초진) – 57y 김OO님
잇몸도 나름 건강하신 편 이었고,
입안 사진에서 왼쪽 아래 어금니가 하나 없는 것 말고는
치료가 필요한 부분은 보이지 않습니다.

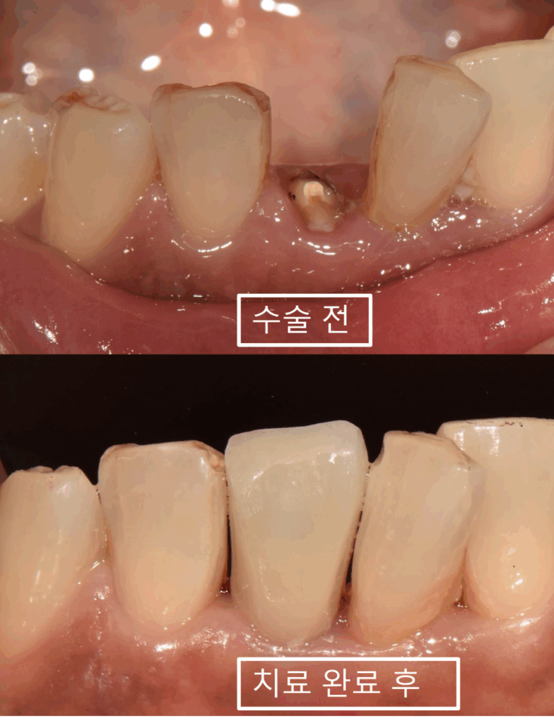
23.09.12(발치+임플란트식립) – 57y 김OO님
수개월 후에 아래 앞니가 부러지셨다며
내원하셨을때 촬영한 입안 사진입니다.
노랑색화살표 치아인데요,
딱딱한 것을 씹다가 부러졌다고 하셨는데
오래전에 신경치료 및 크라운 치료를 한 부분이
약해져서 부러진 것으로 보입니다.
치열이 고르지 않아, 양옆의 치아를 삭제 후
브릿지를 이용한 치료를 해도 좋지만
환자분께서는 자연치아를 삭제해서 보철물을
만드는것이 싫다고 하셔서
임플란트 치료를 하기로 했습니다.

아래턱 앞니의 경우 보통의 임플란트와는 달리
얇고, 길고, 보철물과 한덩어리로 이루어지는
0ne-body 임플란트를 하는 것이
여러모로 좋습니다.
첫번째
아래턱 앞니 잇몸뼈는 뼈의 두께가 굉장히 얇다.
두번째
아래턱 앞니에는 큰 부하가 걸리지 않기 때문에
뼈이식을 하면서 두꺼운 임플란트 수술을
할 필요가 없다.
세번째
아래턱 앞니는 심미성이 강조되는 부위가 아니다.
위 3가지 이유로
매교역치과 바른본에서는
아래턱 앞니임플란트를 하게 되면
뼈이식을 동반하는 임플란트 수술보다
위 사진과 같은 0ne-body 임플란트를
뼈이식없이
빠르고 안전하게 수술을 합니다.

23.08.18(초진) / 23.09.12(발치+임플란트식립) – 57y 김OO님
수술 전, 그리고 수술 직후 x-ray 사진입니다.
아래턱 앞니 임플란트의 경우
큰 하중이 가해지지 않기 때문에
보통 수술 직후 임시치아를 만들어 드립니다.

23.09.12(발치+임플란트식립) / 23.12.22(치료 후) – 57y 김OO님
수술 직전, 그리고 치료완료 후 x-ray 사진입니다.

23.08.18(초진) / 23.12.22(치료 후) – 57y 김OO님
수술 전, 정확히는 초진시 사진과
앞니임플란트 보철까지 완료된 후 사진입니다.
차이가 거의 느껴지지 않죠?
뼈이식을 굳이 하지 않아도되는 이유는
아래턱 앞니 부위 뼈의 특성상,
그리고 임플란트 표면의 특성을 이용해서
수술도 간단하게
결과도 훌륭하게
치료를 할 수 있습니다.

23.09.12(발치+임플란트식립) / 23.12.22(치료 후) – 57y 김OO님
수술 직전, 그리고 치료 완료 후 사진입니다.
매교역치과 바른본에서는
아래턱 앞니임플란트의 경우
뼈이식없이 간단하게 치료를 하고
임상적으로도 훌륭한 결과를 내고 있습니다.

또 다른 환자분 입니다.
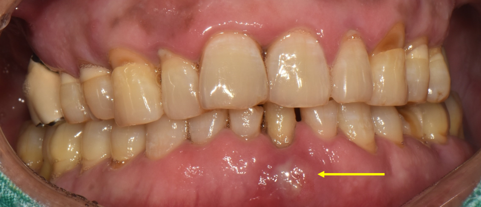
아래 앞니 잇몸이 부어서 내원한 환자분입니다.
노랑색화살표가 가리키는 치아인데요,
다른치아들과 달리 솟구쳐 있는게
x-ray 상에서 관찰이 됩니다.

노랑색화살표를 보시면 아래턱 앞니 잇몸이
심하게 부어있습니다.
심한 치주염으로 잇몸뼈가 소실되면서
치주 세균에 의해 염증이 생겨서 그렇습니다.

위에서 바라본 모습입니다.
치아가 붕 떠있다고 표현을 하는데요
(Floating tooth)
아래턱 앞니가
심한 치주염으로 잇몸뼈 속에 있지 않고
잇몸 살에만 붙어서 심한 동요를 보이며
붕 떠 있습니다.

23.05.11(초진) / 23.10.19(임플란트 식립) – 74y 김OO님
이 환자분도 더이상 살려쓰기 어려운 치아를
발치하고
마찬가지로 뼈이식 없이
이를 뽑으면서 바로 임플란트를 식립하고,
임시치아까지 만들어 드렸습니다.

23.05.11(초진) / 23.12.29(치료 후) – 74y 김OO님
아래턱 앞니임플란트 식립 후 2개월째에
최종 보철까지 완료 된 후 x-ray 사진입니다.

23.05.11(초진) / 23.12.29(치료 후) – 74y 김OO님
초진 시, 그리고 보철치료까지 완료 된 후
입안 사진입니다.
부었던 잇몸이 아래로 내려가면서
원래 잇몸뼈 위치에 맞추어 잇몸살이 자리를 잡았고
뼈이식없이 임플란트를 했지만
주변치아와 조화를 이루며
보철치료가 완료 되었습니다.
아래턱 앞니 잇몸뼈의 특징

아래턱 앞니의 잇몸뼈는
작은 어금니 혹은 큰 어금니 부위의 잇몸뼈보다
굉장히 얇고, 딱딱한 성질이 있습니다.


아래턱 앞니 잇몸뼈의 두께를 조사한 논문이
굉장히 많은데,
평균 두께가 대략 4~6mm 정도 됩니다.

어금니 부위에 식립되는 임플란트의
직경이 4.5mm 혹은 5.0mm가 표준입니다.
아래턱 앞니 잇몸뼈의 두께가 4~6mm인데
직경이 4.5mm, 5.0mm인 임플란트를 심으려면
뼈이식이 필요하게 됩니다.

치아가 원상태로 있는 채 잇몸뼈의
두께도 얇은 것이
아래턱 앞니 잇몸뼈 입니다.
그렇다면 이를 뽑게 되면 잇몸뼈는
어떻게 변할까요?

앞니, 작은어금니, 어금니 할것 없이
발치를 하게 되면 잇몸뼈의 폭과 높이
모두 감소하게 됩니다.
그래서 발치 후 즉시 식립 임플란트가
의미가 있을때가 있고요,
아래턱 앞니 잇몸뼈의 경우
원래도 두께가 얇은데
이를 뽑고
잇몸뼈 두께 소실이 작게는 2mm에서 크게는 4mm까지
보고가 되고 있습니다.
아래턱 앞니 잇몸뼈에
최적화된
RBM 표면 임플란트

매교역치과 바른본에서
아래턱 앞니임플란트 수술시 사용하는
임플란트의 표면은
RBM(Resorbable Blasted Media blasting)이라는
방식을 이용하여 뼈에 잘 붙도록 설계된
임플란트 입니다.
아래턱 앞니 잇몸뼈는 골질이 굉장히 단단하고
폭이 얇기 때문에
RBM 표면처리된 one-body 임플란트가
뼈이식없이
정말 간단하게 임플란트 수술을 할수 있는
최적의 치료 방법입니다.

23.05.11(초진) / 23.12.29(치료 후) – 74y 김OO님
처음 소개해 드렸던 환자분의 CT 사진입니다.
수술전 골폭은 4mm정도..
여기에 어금니 부위에 식립하는 임플란트를 하려면
뼈이식도 동반되어야하지만
뼈이식없이 정말 간단하게
이를 발치하면서 바로 앞니임플란트를 할 수 있습니다.

23.05.11(초진) / 23.12.29(치료 후) – 74y 김OO님
두번째 소개해드렸던 환자분의 CT 사진입니다.
이 환자분의 경우 잇몸뼈 두께도 얇지만
심한 치주염으로 뿌리가 잇몸뼈에 담겨있지 않고
붕 떠있는게 CT에서도 관찰이 됩니다.
(빨강색화살표)
좁은 골폭의 잇몸뼈에(노랑색괄호)
앞니 임플란트를 뼈이식 없이 식립하여
안전하고, 빠르고, 기능적인
저작이 가능합니다.
잘 보셨나요? 매교역치과 바른본치과의원에서는
부위에 따라 식립하는 임플란트 종류를 달리하고,
필요하다면 고난도 뼈이식도 반드시 하지만
그렇지 않고, 좋은 결과를 낼 수 있다면
뼈이식없이 쉽고 간단한 수술을 하고 있습니다.
아래턱 앞니임플란트를 해야한다고 들으셨나요?
매교역치과에 내원해보세요!
뼈이식없이 간단하고 안전하고 빠르게 수술하고
기능적인 보철물까지 제작해 드립니다.
감사합니다 !!
* 모든 증례 사진은 의료법 제23조, 제56조에 의거하여, 당사자의 동의하에 업로드가 진행되었습니다.
* 게시글에 첨부된 치료 사진은 모두 본원에서 치료한 환자분의 사진입니다.
* 게시글에 첨부된 치료 전/후 사진은 동일인의 사진이며, 동일조건에서 촬영하였습니다.
