매교역치과, 잇몸부음 어금니흔들림 어떻게 치료할까요?

매교역치과

안녕하세요! 매교역치과 바른본치과의원
대표원장 백승우입니다.

그간 치성감염(치아원인의 감염)의 진료
포스팅을 통해
감염이 심해 잇몸부음, 농양이 생기면
어떻게 치료하는지 여러번 보여드렸습니다.

​<참고 포스팅>
https://blog.naver.com/bswbsw00/223277918717​

오늘 보여드릴 진료실 이야기는
잇몸부음 어금니흔들림으로 내원한
환자분의 케이스인데요
상당히 진행된 잇몸질환이
원인이었습니다.


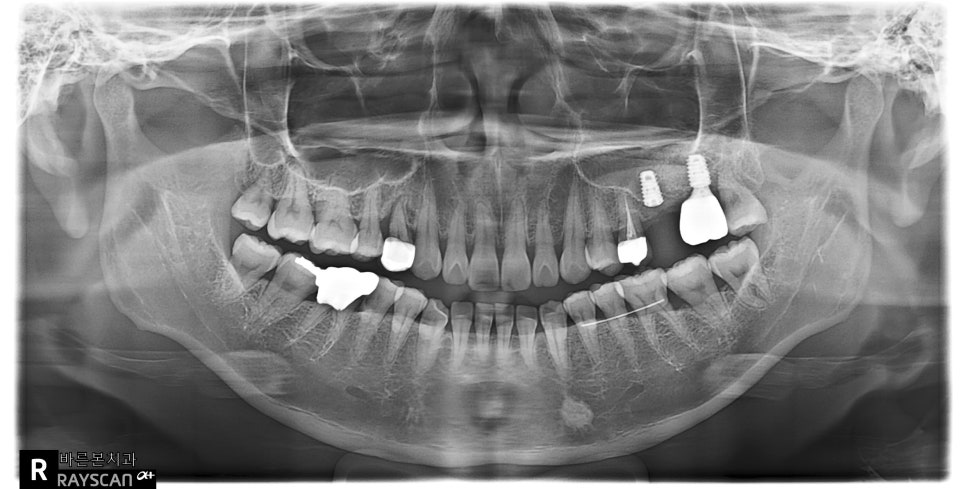
22.11.11(초진) – 43y 백OO님

” 잇몸이 붓고 어금니가 흔들려요 “
라고 말씀하시며 매교역치과로 내원하신
환자분의 x-ray 사진입니다.
빨강색동그라미 치아인데요,
이미 가장 뒷쪽 어금니 자리에는
임플란트치료가 되어있습니다.


22.11.11(초진) – 43y 백OO님

입안사진입니다. 노랑색화살표가 가리키는 치아로,
핀셋으로 잡고 살짝만 흔들어도
상당히 많이 흔들리는 정도였고

잇몸뼈가 없으면 잇몸뼈 위로 덮히는
잇몸도 약할 수 밖에 없어
입안에 상주하는 잇몸세균에 더 취약해 집니다.
따라서 세균감염에의해 잇몸부음이 발생합니다.


22.11.11(초진) – 43y 백OO님

남아있는 잇몸뼈의 상태를 확인하기 위해
CT 촬영을 했습니다.
잇몸부음 어금니흔들림을 보이는 치아의
잇몸뼈 상태인데요,
남아있는 잇몸뼈가..1~2mm정도 입니다.
(빨강색화살표)

이정도로 잇몸질환이 진행이 된 것은
그간 입안관리에 신경을 많이 못쓰셨다는 것이고,
특히나 이미 어금니 임플란트를 하셨는데도 불구하고
앞쪽 어금니마저 상태가 나빠졌네요.


22.11.11(초진) – 43y 백OO님

노랑색화살표는 상악동점막의 비후를 보여줍니다.
치아, 잇몸 세균이 원인이 되서 잇몸뼈를 타고
감염이 상악동까지 진행된 것 입니다.

환자분께는 잇몸세균에 의해 잇몸뼈가 너무 소실되어
흔들리고 있는 치아를 살려쓰기는 어렵고,
잇몸뼈 높이도 많이 부족해서
뼈이식을 동반해서 임플란트 수술을
해야한다고 말씀드렸습니다.

바른본치과의원의 프로토콜에따라
1~2mm 남은 잇몸뼈의 경우
측방접근을 통한 상악동거상술이 필요합니다.

환자분께서도 이미 임플란트 경험이 있으신터라
잇몸부음 어금니흔들림 증상이 심해지면서
어느정도 생각은 하고 오셨다고 하셨습니다.


23.05.16(임플란트 식립) – 43y 백OO님

발치 후 잇몸살이 아물기를 기다린 후에
측방접근을 통한 상악동거상술 및
어금니 임플란트 수술을 시행했습니다.

매교역치과로 내원하시기전에 식립된 임플란트도
상악동거상술과 함께 수술이 된 것으로 판단했는데,
임플란트 주변으로 뼈가 많이 부족해서
이번에 수술을할때 뒷쪽으로도
뼈를 더 넣어드렸습니다.


22.11.11(초진) / 23.05.16(임플란트 식립) – 43y 백OO님

수술 전 과 비교하면 이번에 식립된 임플란트와
예전에 식립된 임플란트 나사 위로
상당히 많은 뼈가 이식된 것이 관찰됩니다.
(빨강색점선)


23.05.16(임플란트 식립) – 43y 백OO님

수술 직후 CT 사진입니다.
상악동이라고 부르는 공간에
뼈이식재가 충분히 들어가 있고,
(빨강색점선)
수술 후 상악동염등 합병증도
보이지 않습니다.


23.05.16(임플란트 식립) – 43y 백OO님

예전에 식립된 임플란트 부위에도
수술하는 김에 뼈를 충분히 넣었습니다.
(빨강색점선)
상악동거상술에서는 뼈를 충분히 넣어야
추후 임플란트 나사의 깊이 조절등을
할 수 있습니다.


22.11.11(초진) / 23.12.11(치료 후) – 43y 백OO님

수술 전 그리고 임플란트 보철 치료까지
완료된 후 x-ray 사진입니다.
새로 식립된 임플란트 그리고 예전에
타치과에서 식립한 임플란트 나사 위로
충분한 양의 뼈이식재가 성공적으로
유지되고 있는 모습입니다.

임플란트 크라운도 잇몸안쪽에서
주변치아와 닿는 곳까지 S라인으로 연결되도록
디자인해야하는데
이렇게 S라인으로 연결이 되어야
임플란트 주변으로 염증이 생기는 것을
줄여줄 수 있습니다.


22.11.11(초진) / 23.12.11(치료 후) – 43y 백OO님

매교역치과에서 잇몸부음 어금니흔들림으로
발치, 임플란트, 상악동거상술 수술 후
크라운치료까지 완료한 모습입니다.

치료전 붉게 부어있던 잇몸도
선한분홍색으로 건강한 모습을 되찾았고
기능적인 임플란트 크라운의 형태를 갖추고 있습니다.

노랑색화살표가 가리키는 크라운을 보시면
크라운 가운데 구멍이 보이는데요,
임플란트 치료 후 환자분들께서 많이들
궁금해 하시는 것 중 하나 입니다.

임플란트는 잇몸뼈에 들어가는 부분 위로
(Fixture)
나사를 통해 크라운이 연결되는 구조 입니다.
(Abutment + Crown)
이 크라운을 잠그는 screw가
통과하는 구멍이 임플란트 크라운 가운데
보이는 것으로,
보이지 않게 디자인을 할수도 있지만
장기적인 유지관리 측면에서
이 구멍이 보이도록 디자인을 해야합니다.

아무리 잘 식립되고, 디자인이 잘 된
임플란트 크라운이라고 할지라도
세월이 흐르면 탈이 날 수 있는데요
이렇게 임플란트 크라운에 구멍이 있어야
추후 이 구멍을 통해 나사를 풀어서
수리하기가 용이 합니다.

상악동거상술을 위한
술전 평가의 중요성

상악동거상술 중에서 가장 난도가 높은
측방접근을 통한 방법에서 핵심은
상악동점막을 찢지 않고 잘 거상하는 것입니다.

따라서 술전 평가가 굉장히 중요한데요,
지난번 포스팅에서는 환자분의
잇몸이 두꺼울 수록 상악동 점막도
두꺼울 확률이 높다는 점을 설명드렸습니다.

한가지 더 고려해야할 사항이 있다면
그것은 상악동의 모양입니다.

위 사진처럼 상악동의 밖과 안쪽의 각도는
환자분들마다 차이가 있습니다.

이 각도가 예각일 수록 상악동점막을 들어올리는
기구의 조작이 어려워지기 때문에
수술 중 상악동점막이 찢어지는 일이
발생할 확률이 높아집니다.

따라서 술전 평가에서 CT 사진을 보고
수술부위를 변경하거나,
측방접근을 위한 뼈 삭제의 위치를 변경하는 등
상악동점막이 찢어지는 합병증을 예방하기 위해
대비를 하고 수술을 해야 합니다.

잘 보셨나요?
매교역치과 잇몸부음 어금니흔들림을
어떻게 치료할지 포스팅이었습니다.

잇몸부음, 농양이 발생한 경우
절개 및 배농 그리고 신경치료를 통해
원인이 된 치아를 치료하고
자여치아를 살려쓰는 경우도 많지만

오늘 소개해드린 진료 내용처럼
잇몸질환이 심하게 진행된 경우
임플란트 치료를 하게 되는 경우도 많습니다.

치실, 치간칫솔, 양치질을 열심히해서
잇몸 및 치아를 건강하게 유지 시켜야하고
그렇지 못한 경우
구강건강 관리를
치과에서 도움을 받으셔야 합니다.

감사합니다 !!


* 모든 증례 사진은 의료법 제23조, 제56조에 의거하여, 당사자의 동의하에 업로드가 진행되었습니다.
* 게시글에 첨부된 치료 사진은 모두 본원에서 치료한 환자분의 사진입니다.
* 게시글에 첨부된 치료 전/후 사진은 동일인의 사진이며, 동일조건에서 촬영하였습니다.


문의 전화

031-234-2080

네이버 예약

네이버 예약