수원치과추천, 앞니변색 앞니통증 앞니깨짐 신경치료를 하루만에!

수원치과추천
23.11.28(초진) – 56y 심OO님

안녕하세요! 수원치과추천 바른본치과의원
대표원장 백승우입니다.

수원치과추천 오늘의 포스팅은
자연치아 살리기를 주제로 해보겠습니다.
일이 너무 바쁘셔서 치료를 미루다가
심한 앞니통증으로 내원하신
환자분의 이야기 입니다.


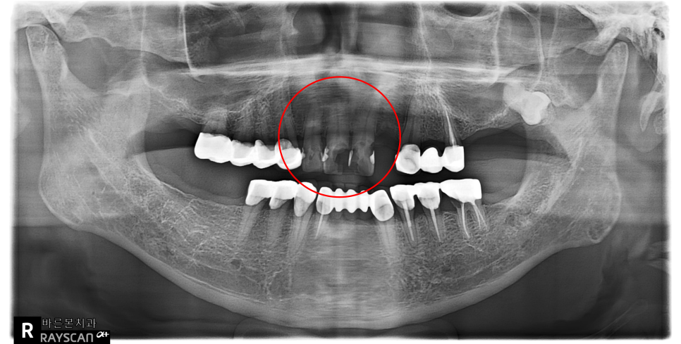
23.11.28(초진) – 56y 심OO님

” 앞니통증이 너무 심해요. 깨진지는 오래되었고
직장근처에서 임시 재료를 넣어줬어요 ” 라고
말씀하시며 수원치과추천로 내원하신 환자분의
x-ray 사진입니다.

빨강색동그라미 부분이 심한 앞니통증의
원인인 치아들입니다.
앞니깨짐도 관찰이되고 자세히 보면
뿌리끝 염증도 보이네요.


23.11.28(초진) – 56y 심OO님

입안 사진입니다.
노랑색화살표를 보시면
3개의 치아가
앞니변색, 앞니깨짐을 보이고 있고
손가락으로 가볍게 두드려도
심한 앞니통증을 호소하셨습니다.


23.11.28(초진) – 56y 심OO님

송곳니를 제외하고, 앞니는 원래 4개인데
빨강색화살표가 가리키는 앞니(측절치)도
수개월전에 발치를 하셨다고 했습니다.

잎 안쪽에서 바라보니
나머지 앞니 3개들도
심한 충치, 앞니깨짐이 연장되어 있네요.


23.11.28(초진) – 56y 심OO님

수원치과추천에서 촬영한 CT 사진입니다.
심한 충치가 치아 내부에 들어있는
신경에 이미 닿아있고(노랑색화살표)
뿌리 끝에도 염증으로 인해
뿌리 끝 잇몸뼈의 소실이 관찰됩니다.
(빨강색화살표)

충치가 신경에 닿아 신경과 혈관이 괴사되어
앞니변색을 일으킨 것이고,
괴사된 조직에서 발생하는 gas로 인해
심한 통증을 유발했고,
뿌리끝 염증으로 인해
치아를 조금만 건드려도
심한 앞니통증을 느끼신 것 입니다.

앞니변색의 이유


출처 : 구글

그간 수원치과추천에서 앞니변색으로
많은 포스팅을 올렸는데요,

앞니변색의 원인으로는

심한충치
외상 후 신경과 혈관의 손상
약물에 의한 치아 발생시 선천성 변색
(테트라싸이클린)

등으로 그 원인을 좁혀볼수 있습니다.


출처 : 구글

심한충치를 방치하게 되면
(빨강색동그라미)
충치세균에 의해 신경과 혈관이 감염이 되고,
신경과 혈관이 괴사되서
심한 통증을 유발합니다.

또한 치료가 지체되면
뿌리끝으로 염증이 생겨
잇몸부음, 잇몸고름이 생길 수 있으니
(노랑색화살표)
늦지않게 치료가 필요합니다.


23.11.30(신경치료) – 56y 심OO님

앞니 3개모두 치수괴사로 진단하고
신경치료를 하루만에 완료 했습니다.

신경치료는
적절한 기구를 사용하여
치아 안에서 감염된 신경과 혈관은
모두 깨끗하게 제거하고 멸균하는 과정입니다.


23.11.28(초진) / 23.12.22(임시치아장착) – 56y 심OO님

심한 충치 및 앞니깨짐으로
앞니변색 및 앞니통증이 심해
수원치과추천로 내원한 환자분의
신경치료가 하루만에 끝나고,
앞니 보철치료는 보철과 전문의 원장님이
직접 진료를 도와주셨습니다.

앞니 4개중에 한개는 이미 발치가 되었지만
앞니 3개를 신경치료를 하고
브릿지를 이용해 연결해서 보철물을 제작하면
빠진 부위에 임플란트 없이도
충분히 기능적이고 심미적인
앞니 보철물을 완성할 수 있습니다.

신경치료를 하루만에 완료하고
치아를 삭제하고
임시보철물을 사용하여
일정기간동안
식사, 발음, 치아 모양등을
확인하는 과정을 거칩니다.


23.12.12 – 56y 심OO님

수원치과추천에서는
솜씨좋은 기공소와의 소통을 통해
기능적이고, 심미적인 보철물을
만들기위해 노력하고 있습니다.

앞니의 경우 앞니로 물때의 기울기,
눈의 동공을 연결한 선의 기울기 등
종합적으로 평가할 항목등이 많기에
관련된 정보를 기공소로 전달해야 합니다.


23.11.28(초진) / 23.12.29(치료 후) – 56y 심OO님

심미적이고, 기능적인 앞니 보철물이
완성된 후 초진 내원시와 비교한 사진입니다.

치료과정동안 잇몸관리도 도와드렸기 때문에
붉게 발적되어 염증이 심한 잇몸도
선한 분홍빛의 건강한 잇몸색을 찾았습니다.

임시보철물을 사용하면서
발음, 식사에 큰 문제가 없었기 때문에
이 정보를 그대로 반영한
최종보철물 역시 환자분께서
굉장히 만족 하셨습니다. ^^

제가 구강외과전문의 수련을 택했던 이유는
“통증”과 “출혈” 조절을 제대로 공부하기
위해서 였습니다.

발치, 임플란트, 양성종양 제거등
수술에서도 통증 조절이 중요하지만
치과의사로써 가장 기본인
치아에서 생기는 통증을 조절하는 것 역시
수술 못지 않게 중요합니다.

앞니통증이 심하신가요?
충치치료를 미루시다가 통증이 심하거나,
치아에 변색이 있는 것 같으시다면
바른본치과의원에 내원해보세요!

감사합니다. !!


* 모든 증례 사진은 의료법 제23조, 제56조에 의거하여, 당사자의 동의하에 업로드가 진행되었습니다.
* 게시글에 첨부된 치료 사진은 모두 본원에서 치료한 환자분의 사진입니다.
* 게시글에 첨부된 치료 전/후 사진은 동일인의 사진이며, 동일조건에서 촬영하였습니다.


 

네이버 지도 바로가기 

 

문의 전화

031-234-2080

네이버 예약

네이버 예약