매교역치과, 견과류치아에 좋을까요?
평소 땅콩을 즐겨드시던 환자분의 어금니크랙 어금니파절 치료를 위해 어금니신경치료.
이제 그만드세요. 제발!!

안녕하세요! 매교역치과 바른본치과의원
대표원장 백승우입니다.
날씨가 점점 더워지네요!
따뜻한 커피만 마시다가 오늘 오후에는
시원한 아이스라떼가 한잔 생각나는 하루였습니다.

출처 – 구글링
한때 온라인을 뜨겁게 달구었던 사진입니다.
눈내리는 추운 겨울에도
아이스아메리카노를 들고 가는..
일명 얼. 죽. 아 !!!
시원한 음료는 괜찮지만
너무 차고 뜨거운 음식이
치아에는 좋지 않다고 정보를 드렸던것
기억 하시나요?
<참고 포스팅>
https://blog.naver.com/bswbsw00/223192194487
아이스아메리카노를 마실때..
보통은 얼음을 깨먹게 되죠!
저도 입안에 들어온 얼음을 무의식적으로
물게 되는 경우가 정말 많습니다.
얼음, 땅콩, 견과류 등
모두 치아에는 좋지 않은 음식들이고
특히나
어금니크랙이나
어금니파절을 일으킬 수 있으니
주의가 필요합니다.
매교역치과 오늘의 포스팅은
자연치살려쓰기 이고
평소 땅콩을 즐겨드시던 환자분께서
치아가 시리다가
결국에는 너무 아파서
어금니신경치료를 하게 된 이야기 입니다.

23.01.10 (초진) – 55y 김OO님
” 왼쪽 아래 어금니가가 시려워요 “ 라고 말씀하시며
매교역치과에 내원하신 환자분의
X-ray 사진입니다.
파노라마 x-ray 사진에는
특이사항이 보이진 않았는데요

23.01.10 (초진) – 55y 김OO님
위턱뼈 치아 사진입니다.
어떤점이 눈에 띄시나요?
초록색화살표가 가리키는 치아들을 잘 보세요.
누렇게 보이고
군데군데 구멍이 보입니다.
치아의 마모가 심한 편에 속하는
어금니들이 이렇게 보여요.

23.01.10 (초진) – 55y 김OO님
아래턱뼈 치아들 입니다.
마찬가지로 초록색화살표가 가리키는
치아들을 잘 보면
씹는 면 위로 구멍이 나 있고,
치아 안쪽의 누런색 상아질이
노출되어 있습니다.

23.01.10 (초진) – 55y 김OO님
매교역치과에서 촬영한 옆 사진입니다.
노랑색화살표가 가리키는 곳은
치경부마모증으로 치료를 받은
흔적들을 보여주고 있습니다.
왼쪽아래 두번째 어금니에 시린증상이 있었지만
바람에 약간 시릴뿐,
차가운 것에 통증을 느끼거나
씹을때 통증도 없으셔서
당분간 지켜보기로 했습니다.
하지만
이틀후에 환자분께서
이가 너무 아프다고 오셨고
찬물만 마셔도 찌릿하게 너무 아프다고 하셨습니다.

23.01.11 – 55y 김OO님
왼쪽 아래의 두번째 큰어금니의
골드인레이를 제거하고 촬영한 사진입니다.
노랑색화살표 끝을 보시면
뭐가 보이시나요?
치아를 가로지르는 선이 보입니다.
어금니크랙입니다.
이틀전 치과에 내원했다가
좀 괜찮은가 했는데
땅콩을 먹고나서 더 아파지셨다고 하셨습니다.

23.01.11 – 55y 김OO님
치아를 앞뒤로 조금더 삭제를 하니
어금니파절을 가리키는 선이
쭉 연장된 것이 보입니다.
(노랑색화살표)
골드인레이만 해도 치아에 미세한 크랙을
남기기 쉬운데
평소 견과류를 너무 드셨던것 때문인지
결국에는 탈이나고 말았습니다.

매교역치과 바른본치과의원의
자연치아살려쓰기 프로토콜에따라
어금니크랙, 어금니파절로 진단한 치아의
파절선의 위치로 보아
어금니신경치료로 살려쓸수 있다고
판단이 되었습니다.

23.02.11 (신경치료) – 55y 김OO님
어금니신경치료 중 촬영한 사진입니다.
어금니신경치료를 마치고
온도변화에 반응을 하는지,
씹었을때 나 치아를 두드렸을때
통증이 없는지 최종확인을 하고
어금니크라운치료로 넘어갔는데요

어금니신경치료 후 어금니크라운치료
해보신 분들 아시겠지만
보통 치아를 삭제하고
최종크라운으로 넘어가기전에
임시치아를 만들어 드립니다.
그런데..아이쿠…..
환자분께서 치료중간에 내원하셔서는
” 땅콩먹다가 임시치아 깨졌어요 “
라고 말씀하셨습니다…
딱딱한거 줄여달라고 그렇게 부탁을
드렸는데도 말이죠!!!

23.01.10 (초진) / 23.02.28 (치료 후) – 55y 김OO님
매교역치과에서
평소 땅콩을 즐겨드시던 환자분의
어금니파절,
어금니크랙의 치료로
어금니신경치료 후 지르코니아 크라운치료까지
완성된 후 촬영한 사진입니다.
집에 가실때는 견과류를 줄여보겠다고
하셨는데..음..

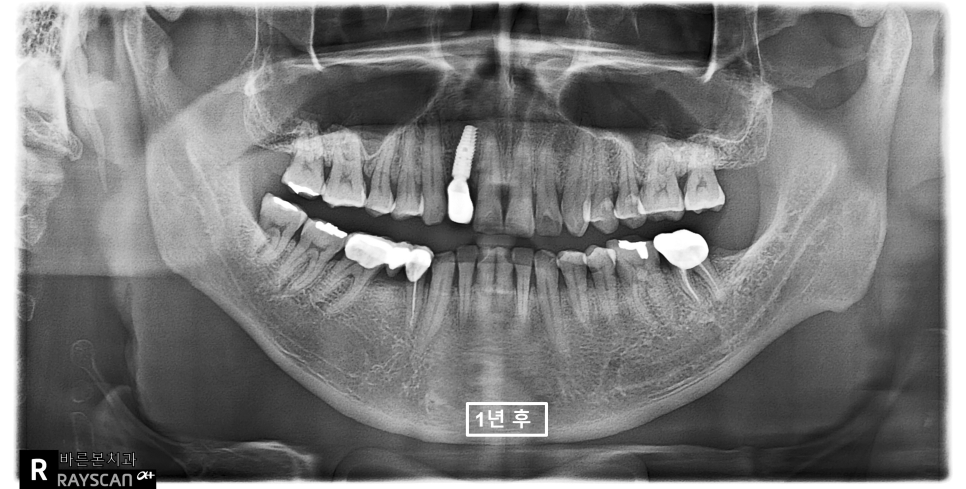
24.05.20 (정기검진) – 55y 김OO님
치료 후 1년동안
매교역치과에서
꾸준하게 검진 및 잇몸관리를 받으셨고
다른 치아들에는 아직 별탈없이
잘 지내고 계십니다 ^^
바른본치과의원은
주기적인 검진 및 잇몸청소를 통해
치료한 부위의 철저한 관리를 하고
집에서 양치가 잘 안되는 부분들을
치과에서 직접 청소를 해드리고 있습니다.

출처 – 구글링
견과류에는 몸에 좋은 영양소가
많이 들어 있는 것은 사실이지만
치아에 좋다고 정보를 올리는
몇몇 블로그의 포스팅을 보면
과연 딱딱한 음식이 얼마나 치아에 안좋은지
정말 알고 계신지..의문이 들때가 많습니다.
요즘에는 견과류에 더해
탕후루가 어금니파절 혹은 충치에
한몫하고 있는데요,
드시더라도 조금만
드신 후에는 꼭 양치질을 하셨으면 좋겠습니다.
매교역치과
자연치아 살려쓰기 포스팅을
마치도록 하겠습니다.
감사합니다 ~!!!
* 모든 증례 사진은 의료법 제23조, 제56조에 의거하여, 당사자의 동의하에 업로드가 진행되었습니다.
* 게시글에 첨부된 치료 사진은 모두 본.원에서 치료한 환.자분의 사진입니다.
* 게시글에 첨부된 치료 전/후 사진은 동일인의 사진이며, 동일조건에서 촬영하였습니다.
