매교역치과, 원인모를 치통
어금니통증 알고보니 매복사랑니 때문에?!

24.03.09(초진) – 57y 박OO님
안녕하세요! 매교역치과 바른본치과의원
대표원장 백승우입니다.
매교역치과 오늘 포스팅은
매복사랑니발치 입니다.
하지만
사랑니 자체가 불편해서 발치를 하게 된 것은 아니라서
이런 경우에도
사랑니를 뽑게 되는구나..란 정보를 드리고자
오늘 포스팅을 준비 했습니다.
5분만 집중해서 보시면
원인모를 치통을 해결하는데,
조금이나마 도움이 될 수 있습니다.
포스팅을 시작할게요!!

매교역치과
” 왼쪽 아래 어금니가 아파서 치과에 갔는데
이유는 잘 모르겠지만, 사랑니 때문일거 같다고
의뢰서 적어주셨어요 ” 라고 말씀하시며
멀리서 세류동치과로 내원하신 환자분의
진료 의뢰서 입니다.
어떤 이유인지 x-ray와 입안사진을 한번 보겠습니다.

24.03.09(초진) – 57y 박OO님
먼저 입안 사진입니다.
노랑색화살표가 가리키는 치아가
계속 불편하고, 주변 잇몸도 양치할때 아파서
집근처 치과에 갔는데
금으로 씌워진 치아는 이상이 없다고
들었다고 하셨습니다.
저도
치아 두드려보거나
찬물 혹은 따뜻한 물에 통증이 있는지,
잇몸 아래로 염증으로 인한 주머니가 있는지
면밀한 검사를 했지만
치아 자체에는 큰 이상이 없었습니다.

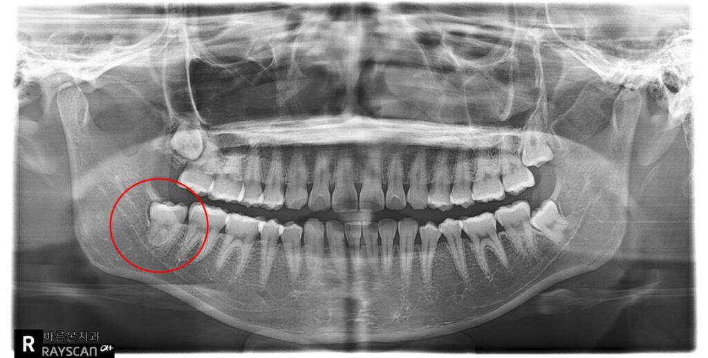
24.03.09(초진) – 57y 박OO님
X-ray 사진입니다.
왼쪽 아래 매복사랑니가 보이고
(빨강색동그라미)
사랑니머리가 금으로 씌워진 어금니를
약간 밀고 있는 듯한 모습입니다.

24.03.09(초진) – 57y 박OO님
매교역치과 바른본에서 더 정확한 검사를 위해
촬영한 CT 사진입니다.
사랑니가 빨강색 화살표 방향으로 맹출을 하고 있고
이 방향이 앞쪽 어금니를 누르고 있는 것 같습니다.
환자분 연세가 사랑니 뿌리는 전부 자랐을 시기라
더 정확하게는
매복된 사랑니 주변 염증이
앞쪽 어금니를 압박하고 있다고 봐야 할 것 같네요.
아무래도 매복사랑니가
원인모를 치통의 이유인 것 같습니다.

24.03.09(초진) – 57y 박OO님
사랑니발치를 위해서는 발치 후 나타날 수 있는
합병증을 미리 예측하고 설명해드려야 합니다.
노랑색화살표는 아래턱뼈신경으로
매복사랑니와 어느정도 거리가 있어
발치 후 이 신경이 놀랄 가능성은 적습니다.
하지만
매복사랑니의 뿌리 방향이 혀쪽을 향하고 있는데
빨강색점선이 가리키는 혀쪽 잇몸뼈가 얇고
사랑니뿌리 끝 일부는 이미 뼈가 녹아 없습니다.

매교역치과
이런경우
아래턱뼈신경보다는 정말 간혹이지만
설신경 손상 가능성이 있고
(Lingual nerve damage)
혀쪽 잇몸뼈의 골절 가능성도 있습니다.
(Lingual plate fracture)

24.03.09(초진) / 24.03.11(치료 후) – 57y 박OO님
환자분께는 의뢰주신 선생님,
그리고 저역시도
현재 나타난 원인모를 치통이
매복사랑니의 염증에 의한 것인 것 같고
매복사랑니를 발치하고 증상이 어떤지
지켜보자고 말씀드렸습니다.
다행히
발치 후 치통은 사라졌고
위에서 설명드린 매복사랑니 발치 후
정말 간혹 나타날 수 있는
설신경 손상 역시 없었습니다.
다행이네요.

24.03.05(발치 전) – 26y 박OO님
” 오른쪽 아래 어금니가 불편해요. 가끔 씹을때 아프고
잇몸도 뭔가 풍선같이 부풀고 있는 느낌이에요 “
라고 말씀하시며 매교역치과에 내원하신
환자분의 입안 사진입니다.
노랑색화살표가 원인모를 치통이 있는
두번째 어금니 입니다.
충치가 있지도 않고,
차가운 물이나 뜨거운 물에 통증이 있지도 않습니다.

24.02.22(초진) – 26y 박OO님
X-ray 입니다. 빨강색동그라미를 보면
원인모를 치통을 느끼고 있는 어금니 뒷쪽에
매복사랑니가 있네요.
아직 잇몸밖으로 나오지 않아
환자분이 뒷쪽에 사랑니가 있는지도
모르고 계셨습니다.
이 사진을 보고 두번째 어금니 뒷쪽 잇몸을
강하게 눌러보니 평소 불편하던
통증이 재현이 되었고,
매복사랑니의 염증에 의해
앞니까지 통증이 전달된것 같습니다.

24.02.22(초진) – 26y 박OO님
CT 사진입니다.
매복사랑니 머리 주변으로 검게 보이는 것이
염증이 생기고, 없어지고 반복한 흔적입니다.
빨강색 막대기 두개가 매복사랑니 뿌리인데요,
그 사이로 아래턱뼈신경이 지나가고 있습니다.
(노랑색화살표)
이런경우 사랑니가 발치되면서
아래턱뼈신경을 건드리면서 나올 수 있기 때문에
발치 후 아래턱뼈신경이 놀랄 가능성이 높습니다.

24.02.22(초진) – 26y 박OO님
CT 컷을 조금 뒤로 가보니
매복사랑니 뿌리사이로 통과하고 있는
아래턱뼈신경이 더 확실하게 관찰됩니다.
환자분께는 현재 느끼고 있는
원인모를 치통의 이유가
매복사랑니 주변 염증인 것 같다고 말씀드렸고
발치 후 나타날 수 있는 합병증을 잘 설명드리고
매복사랑니를 뽑기로 했습니다.

24.02.22(초진) / 24.03.12(발치 후) – 26y 박OO님
매교역치과에서
뿌리사이로 신경이 통과하는
난도높은 매복사랑니 발치 전후 촬영한 사진입니다.
첫번째로 보여드린 케이스에서와 마찬가지로
사랑니발치 후 2주정도 후에
치통도 말끔하게 사라진것을 확인했습니다.

매교역치과
살다보면 누구나 한번은
치통으로 인해 충치치료를 할 수 있습니다.
잇몸치료도 할수 있죠.
하지만
아무리 검사를 해봐도
충치나 치주염의 원인이 아닌경우도 있고
그런경우
매복사랑니로 인해
원인모를 치통 혹은 어금니통증이 생길수도 있습니다.
매복사랑니를 뽑아야한다고 들으셨거나
아래턱뼈 가장 안쪽 어금니에 통증이 있으시다면
세류동치과 바른본에 내원해보세요!!
정확한 진단과 꼭 필요한 진료만을 약속드립니다.
감사합니다. !!
* 모든 증례 사진은 의료법 제23조, 제56조에 의거하여, 당사자의 동의하에 업로드가 진행되었습니다.
* 게시글에 첨부된 치료 사진은 모두 본.원에서 치료한 환.자분의 사진입니다.
* 게시글에 첨부된 치료 전/후 사진은 동일인의 사진이며, 동일조건에서 촬영하였습니다.