매교역치과, 입술물집 작다고 우습게 봤다가

깜짝놀란 입술점액낭종. 조직검사까지 한번에!

매교역치과

24.02.19(점액낭종제거) – 34y 조OO님

 

🗒️목차

  • 입술물집으로 내원한 환자 사례
  • 작아 보였지만 실제로 컸던 입술점액낭종
  • 입술점액낭종 제거 수술 과정
  • 입술점액낭종이 크게 숨어 있었던 이유
  • 수술 후 조직검사가 필요한 이유
  • 조직검사 결과와 치료 마무리

 

안녕하세요! 매교역치과 바른본치과의원

대표원장 백승우입니다.

 

매교역치과

출처 : 구글링

 

미세먼지가 심합니다.

 

마스크를 항상끼고 다니셔야

호흡기 질환에 걸리지 않겠습니다.

매교역치과 오늘 포스팅 주제는

양성종양제거이고,

입술점액낭종입니다.

 

저희치과가 점액낭종 제거를 잘해준다고

소문이 났는지

정말 전국 각지에서 환자분들이 오시는데요,

 

오늘은 눈으로보기에,

그리고 만졌을때 크기가 작아서

수술이 쉬울거라 생각했다가

 

막상 수술을 해보니 엄청나게 큰

입술점액낭종이어서

깜짤 놀랐던 케이스를 소개해 드립니다.

 

매교역치과

24.02.02(초진) – 34y 조OO님

 

” 입술물집이 생긴지 좀 됬어요.

커졌다 작아졌다 했는데 요즘은 좀

줄어든거 같아요 ” 라고 말씀하시며

매교역치과 바른본치과의원으로 내원하신

환자분의 x-ray 사진입니다.

부러진 치아도 보이네요.

 

매교역치과

24.02.02(초진) – 34y 조OO님

 

입술물집을 주소로 내원하신 환자분의

위턱뼈 치아들 입니다.

 

잇몸이 많이 부어있고,

첫번째 큰 어금니가 심한 충치로

부러진지 상당히 오래되어 보입니다.

 

매교역치과

24.02.02(초진) – 34y 조OO님

 

입술물집인줄 알았지만, 인터넷 검색을 통해

입술점액낭종인것 같아서

 

매교역치과로

내원하신 환자분의 입술 사진입니다.

 

그동안 매교역치과에서 포스팅 했던

입술점액낭종 크기에 비하면

굉장히 작게 느껴지고,

촉진했을때 이물감도 상당히 작았던 터라

 

간단히 침샘도관만 제거 하면 될 줄 알았는데요,

 

매교역치과

24.02.19(점액낭종제거) – 34y 조OO님

 

크기가 작을 것이라고 예상하고,

사진준비도 하지 않고 수술시작을 했었는데..

왠걸..

 

도관만 제거하려고 부분절개 수술을 했다가

안쪽에 잡혀있는 물집이 굉장히 크다고 판단되어

병소 전체를 절제하는 수술방법으로 전환하고

바로 사진촬영을 시작했습니다.

 

매교역치과

24.02.19(점액낭종제거) – 34y 조OO님

 

입술물집 전체 부위를 표시하고

내부에 들어있는 침샘의 도관을 박리하고 있습니다.

 

생긴지 오래된 입술점액낭종의 경우

막힌 도관에서 염증이

생기고 사라지고를 반복하면서

주변조직과 유착이 생깁니다.

 

그럴수록 막힌 도관만 박리하기는

굉장히 까다롭고 시간도 오래걸립니다.

 

매교역치과

24.02.19(점액낭종제거) – 34y 조OO님

 

유착관 도관과 주변조직이 한덩어리로

제거되고 있습니다.

 

작은줄 알고 우습게 봤던

입술점액낭종이었는데..

빙산의 일각이란 표현이 떠올랐습니다.

 

매교역치과

24.02.19(점액낭종제거) – 34y 조OO님

 

막힌 도관때문에

침의 올라오지 못하고 커지고 작아지기를

반복했던 입술물집 부위.

 

매교역치과에서 막힌 도관을 박리하고

유착된 주변조직과 조심스럽게 분리하면서

병소를 완전히 적출하고 있습니다.

 

왜 크기가 큰지

몰랐을까요?

 

매교역치과

출처 : Medinaz – A Visual Learning Platform

 

입술점액낭종은 크게 2가지 종류가 있는데

 

첫번째는

침이 분비되는 도관이 막혀서

생기는 경우고

(Retention type)

 

두번째는

도관의 외상으로 도관내부 성분이

빠져나오는 경우입니다.

(Extravasation type)

 

침샘 깊은곳에서 막혀서 생기는 경우에는

표면에서 만져도 크기를 알수가 없고

 

더군다나

오늘 소개해드린 환자분의 경우

입술의 두께도 두꺼웠던터라

더더욱 크기를 예상하기가

어려웠던 것 같습니다.

 

매교역치과

24.02.19(점액낭종제거) – 34y 조OO님

 

모든 수술은 마무리가 가장 중요하죠.

 

입술에는 크고 작은 혈관들이 많기 때문에

양성종양제거 수술

혹은 입술점액낭종제거 수술 후에는

반드시 지혈확인 절차가 필요합니다.

 

매교역치과

24.02.19(점액낭종제거) – 34y 조OO님

매교역치과

24.02.19(점액낭종제거) – 34y 조OO님

 

매교역치과 바른본치과의원에서

입술물집을 주소로 내원한 환자분의

병소적출 후,

그리고 봉합완료 후 촬영한 사진입니다.

 

크기가 작아 수술이 쉬울줄 알았지만

막상 수술을 해보니

안쪽에 자리잡은 커다란 물혹으로

크게 놀랐던 케이스 였습니다.

 

매교역치과

매교역치과

 

매교역치과 바른본치과의원의

양성종양제거 프로토콜에 따라

 

서울대학교 치과병원 구강병리과로 검체를 이송했고

결과는 입술점액낭종으로 나와

환자분께 최종확인을 시켜드렸습니다.

 

굳이 조직검사까지

해야 할까요?

 

매교역치과

매교역치과

 

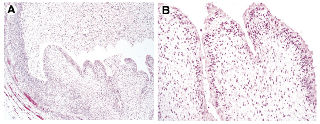
병소의 최종확인은 병리학적 검사 입니다.

 

입술점액낭종은 구강외과전문의에게는

정말 흔하게 접하는 케이스들중에 하나인데요

 

매교역치과

매교역치과

 

보통은 조직검사시 위 사진처럼 보이지만

 

매교역치과

매교역치과

 

간혹, 위사진처럼 다른 모양을 나타내는 경우도 있고

화생, 영어로는 metaplasia라로 하여

전혀 다른 조직학적 검사결과가

나오는 경우가 종종있기 때문에

반드시 조직검사가 필요합니다.

 

매교역치과

매교역치과

 

위 논문에서 1800여개의 병소중에

흔하지 않은 결과를 보인경우는 2개 뿐 이었지만

1800여번을 수술한 의사에게는 0.1%이지만

그 수술을 받은 환자에게는 100% 입니다.

 

조직검사 결과에 따라

치료가 종료되느냐, 상급병원진료를 이어가느냐가

결정되기 때문에

 

매교역치과 바른본에서는

양성종양제거 수술시에는

아무리 흔하고, 자주하는 수술이라고 할지라도

반드시

조직검사를 동반하고 있습니다.

 

<원문은 하단링크 클릭>

https://pubmed.ncbi.nlm.nih.gov/20708324/

 

매교역치과, 입술물집 작다고 우습게 봤다가 깜짝놀란 입술점액낭종. 조직검사까지 한번에!

 

포스팅 잘 보셨나요?

 

매교역치과

출처 : 구글링

 

스스로 깜짝 놀랬고,

아무리 흔한 질환이지만

더 꼼꼼하게, 긴장해서 진료를 해야겠다

다짐을 하게 해준 케이스를 소개해드렸습니다.

감사합니다 !!

 

바른본치과의 다른 치료도 궁금하다면?

👉[거대 치근단낭종 제거와 치근단절재술] 바로가기

 

* 모든 증례 사진은 의료법 제23조, 제56조에 의거하여, 당사자의 동의하에 업로드가 진행되었습니다.

* 게시글에 첨부된 치료 사진은 모두 본.원에서 치료한 환.자분의 사진입니다.

* 게시글에 첨부된 치료 전/후 사진은 동일인의 사진이며, 동일조건에서 촬영하였습니다.

매교역치과

매교역치과

네이버 플레이스 바로가기

문의 전화

031-234-2080

네이버 예약

네이버 예약