🦷수원시청역치과 앞니삐뚤이 초등학생 부분교정, 적기 시점은?

24.02.15 (초진) / 24.06.26 (치료 후) – 10y 최OO님
안녕하세요! 수원시청역치과 소아청소년성장클리닉
바른본치과의원 대표원장 백승우입니다.

평일, 주말에 놀이터나 공원을 지나게 될때
시끌시끌 아이들이 뛰어노는 소리를 들으면
절로 기분이 좋아집니다.
직업이 치과의사다 보니
환하게 웃고 있는 아이들을 보면
절로 치아에 눈이 가게 되고
앞니삐뚤한 초등학생을 보면
왜그럴까, 어떤 치료를 하면 좋을까
부분교정만으로 치열이 바르게 될 수 있을까
이런 고민도 하게 됩니다.

초등학생 시절은 본격적으로 유치가 빠지면서
영구치가 맹출하는 시기입니다.
또한 치아를 담고 있는 잇몸뼈의
성장 역시 왕성한 시기인데요.
이 두가지는 치열이 고르지 못한 우리 아이들에게
좋은 치료 기회를 제공하는 무기가 되곤합니다.

24.02.15 (초진) – 10y 최OO님
” 이가 흔들려요. 아래 앞니 하나가 삐뚤한데
원래 그런건가요? ”
초등학생 여아를 데려온 어머니께서
수원시청역치과 소아청소년성장클리닉에서 하신 말씀입니다.
빨강색 화살표는 흔들리는 유치어금니를,
노랑색동그라미는 어머니께서 말씀하신
삐뚤한 아래턱 앞니를 가리킵니다.

아래턱 앞니가 얼마나 삐뚤하게 맹출했는지 볼까요?
다른 치아들은 고르게 났지만
왼쪽 아래 첫번째 앞니 하나가
앞으로 튀어 나와 있네요.
정면 사진을 봤을때 위턱뼈 치아들도
가지런한 편에 속합니다.

24.02.15 (초진) – 10y 최OO님
어머니께서 초등학생 앞니 부분교정을 궁금해 하셨는데요,
특히 삐뚤한 아래앞니만 치료를 할 수 있는지 여쭤보셨습니다.
교정치료는 치아를 움직이지만
입술등 안모에도 영향을 끼치기 때문에
수원시청역치과에서는 여러가지 요소들을 평가해야합니다.
턱끝 – 아랫입술 – 윗입술- 코끝이
일직선에 거의 일치하는 옆모습을 가진 경우로
학생스스로, 그리고 어머님이 보시기에
위턱뼈 앞니 돌출감이 심하지 않다면
아래 앞니부분교정만 해도
충분할 것으로 진단이 되었습니다.
그런데,
삐뚤한 앞니를 바르게 하려면
공간이 부족할텐데
이를 뽑아야 할까요?
많은 분들이 궁금해 하실 것 같은데요.
글 하단에서 설명드릴게요!!

24.02.15 (초진) / 24.02.22 (치료 시작) – 10y 최OO님
삐뚤한 아래 앞니부분교정 치료를 위해
아래턱 치아들에 브라켓을 붙이고
교정치료를 시작했습니다.

24.02.15 (초진) / 24.02.22 (치료 시작) – 10y 최OO님
교정치료를 시작하기전에 인계동치과 소아청소년성장클리닉
바른본치과의원에서 흔들리는
오른쪽 아래 유치 어금니를 발치를 했고,
장치를 부착한 뒤 촬영한 사진입니다.

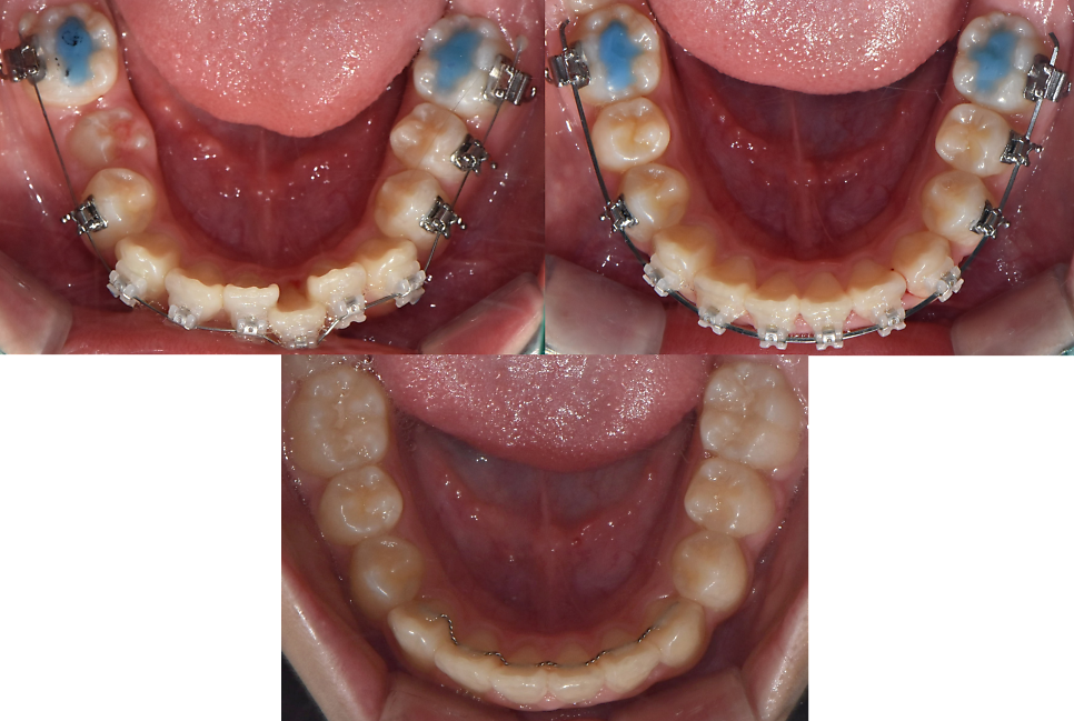
24.02.22 (치료 시작) / 24.05.17 (치료 중) / 24.06.26 (치료 후) – 10y 최OO님
처음 교정치료를 위한 장치를 부착하고
교정치료를 완료할때까지
어느정도의 기간이 소요되었을까요?


24.02.22 (치료 시작) / 24.05.17 (치료 중) / 24.06.26 (치료 후) – 10y 최OO님
앞니삐뚤한 초등학생 부분교정의 경우
삐둘한 정도에 따라
그리고 발치 여부에 따라
소요되는 기간은 달라지게 됩니다.
하지만 오늘 소개해드린 학생의 경우
발치 없이 그리고 유치가 빠진 후 남는 공간을 이용했던
앞니부분교정의 경우로
4개월의 시간이 소요되었습니다.

24.02.22 (치료 시작) / 24.05.17 (치료 중) / 24.06.26 (치료 후) – 10y 최OO님
처음 장치를 부착하고 부터 교정치료가 완료된 후
아래 앞니 안쪽에 유지장치까지 부착하고 촬영한 사진입니다.
4개월 정도의 빠른기간,
그리고 눈에 띄게 바르게 배열된 모습으로
학생 스스로도 정말 좋아했습니다.
🚨성장기 교정치료의 큰 장점 : 발치를 하지 않거나 성장하는 뼈를 이용할 수 있습니다.

24.02.15 (초진) / 24.02.22 (치료 시작) – 10y 최OO님
앞니가 삐뚤하다면, 삐뚤한 만큼 공간이 부족할테니
부족한 공간을 어디서 가져와야할까요?
성인이라면 발치가 필요할지 모릅니다.
하지만 어린이치열(유치열)에서
영구치열(성인치열)로 전환되는 시기에는
교정치료에 사용할 수 있는
숨어있는 공간이 있습니다.
유치송곳니~유치어금니까지 길이가
영구치송곳니~영구치작은어금니까지
길이보다 길다는 사실인데요.
간단하게는 위 사진에서 노랑색화살표 길이보다
하늘색화살표 길이가 짧아
그 차이만큼(흰색 두줄)의 공간을
교정치료에 사용할 수 있습니다^^
그래서 오늘 수원시청역치과 소아청소년성장클리닉
바른본치과의원에서 소개해드린 케이스의 경우
발치없이 삐뚤한 앞니를 앞니부분교정만으로
4개월만에 바른치열로 만들 수 있었던 것 입니다.

무럭무럭 커가는 우리 아이들.
한창 클 나이에 치열이 고르지 못하다면
성장동력을 이용해서 성인시기에는 하기가 어려운
교정치료를 할 수 있습니다.

23.08.11 (초진) / 23.09.12 (치료 시작) / 24.06.25 (치료 후) – 11y 강OO님
아래턱이 위턱보다 앞으로 나오는 3급 부정교합,
소위 말하는 주걱턱 부정교합도 말이죠.
위 사진도 수원시청역치과 소아청소년성장클리닉에서
치료중인 초등학생의 입안 사진으로,
시기를 놓친다면
성인이 되어 양악수술이 필요한 경우가 대부분입니다.
초등학생 아이의 앞니가 삐뚤한가요?
앞니가 돌출되거나
전체적으로 치열이 고르지 못한가요?
수원시청역치과 소아청소년성장클리닉에 내원하여
아이의 구강 건강을 잘 관리해보셨으면 합니다.
더 자세한 문의가 필요하신 경우
언제든 편히 연락, 내원해 주시길 바랍니다.
수원시청역치과, 수원시청역치과, 수원시청역치과
감사합니다 ~~!!!
* 모든 증례 사진은 의료법 제23조, 제56조에 의거하여, 당사자의 동의하에 업로드가 진행되었습니다.
* 게시글에 첨부된 치료 사진은 모두 본.원에서 치료한 환.자분의 사진입니다.
* 게시글에 첨부된 치료 전/후 사진은 동일인의 사진이며, 동일조건에서 촬영하였습니다.
*개인의 차이에 따라 시술 및 수술 후 부작용이 발생할 수 있으며, 의료진과 충분한 상담을 받으시기 바랍니다.
